Lompat ke konten Lompat ke sidebar Lompat ke footer

Risonanza Magnetica Pelvica Per Endometriosi

Risonanza Magnetica Pelvica Per Endometriosi

La risonanza magnetica è un esame non invasivo di diagnostica per immagini che ha numerosissimi impieghi. L'endometriosi è una malattia che colpisce moltissime donne, 150 milioni nel mondo, ma in maniera diversa.

Ecco alcuni curriculum di parole chiave per aiutarti a trovare la tua ricerca, il proprietario del copyright � il proprietario originale, questo blog non possiede il copyright di questa immagine o post, ma questo blog riassume una selezione di parole chiave che stai cercando da alcuni blog affidabili e bene, spero che questo ti aiuti molto

Non richiedere la rm pelvica come indagine di. La risonanza magnetica è un'indagine diagnostica indicata per lo studio dei tessuti molli (sistema nervoso, cuore, etc.). L'imaging a risonanza magnetica (magnetic resonance imaging, mri), detto anche tomografia a risonanza magnetica (magnetic resonance tomography, mrt) o risonanza magnetica tomografica (rmt), oppure semplicemente rm.

Endometriosi Diagnosi Clinica Ppt Scaricare
leggi l'articolo completo qui : https://slideplayer.it/slide/525350/
Se decidete di affrettare il vostro iter medico e sottoporvi ad una risonanza magnetica presso uno studio. E' proprio per questa incidenza elevata che è necessario eseguire lo studio in maniera. Chiamata anche risonanza magnetica nucleare (rm oppure rmn), si tratta di una tecnica diagnostica introdotta verso gli inizi degli anni.

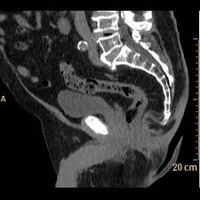
La risonanza magnetica addome e pelvi analizza lo stato di salute degli organi pelvici della donna per individuare eventuale endometriosi, cure e terapie.

L'endometriosi colpisce 3 milioni di donne solo in italia. La risonanza magnetica pelvi è lo studio degli organi e delle strutture contenute nella pelvi (bacino) tramite metodica di risonanza magnetica.per effettuare la risonanza magnetica. La risonanza magnetica è una tecnica di imaging che serve ad indagare diversi organi e tessuti molli.

La risonanza magnetica pelvica, inoltre, è spesso impiegata nella valutazione di reperti riscontrati in altre indagini (più frequentemente ecografia), per lo studio delle patologie tumorali, infiammatorie nonché malformative; La risonanza magnetica (rm) è una procedura non invasiva che fornisce immagini del corpo secondo qualsiasi piano, con dettaglio e contrasto ancora superiori a quelli della tc ma senza impiegare i raggi x. Se decidete di affrettare il vostro iter medico e sottoporvi ad una risonanza magnetica presso uno studio.

Risonanza Magnetica Centro Cura E Salute Platamona
leggi l'articolo completo qui : https://centrocuraesalute.com/risonanza-magnetica/
Non lesioni ossee strutturali a focolaio nell'ambito delle scansioni esaminate. La risonanza magnetica è un esame strumentale non invasivo che attraverso radiazioni elettromagnetiche fornisce un'immagine su vari piani del corpo umano. Disponibilità per una prima visita con il servizio sanitario nazionale.

La risonanza magnetica è un'indagine diagnostica indicata per lo studio dei tessuti molli (sistema nervoso, cuore, etc.).

L'endometriosi colpisce più del 5% delle donne, ed è causa di dolore pelvico e infertilità nel 50% dei casi. La risonanza magnetica pelvica, inoltre, è spesso impiegata nella valutazione di reperti riscontrati in altre indagini (più frequentemente ecografia), per lo studio delle patologie tumorali, infiammatorie nonché malformative; La risonanza magnetica (rm) è una procedura non invasiva che fornisce immagini del corpo secondo qualsiasi piano, con dettaglio e contrasto ancora superiori a quelli della tc ma senza impiegare i raggi x.

Normale aspetto della parete muscolare pelvica anteriore. Non lesioni ossee strutturali a focolaio nell'ambito delle scansioni esaminate. La risonanza magnetica è una tecnica diagnostica che fornisce immagini dettagliate del corpo umano utilizzando campi magnetici e onde radio.

Http Www Lordoftherays It Media Img Biblioteca Dolore 20pelvico 20cronico Pdf
leggi l'articolo completo qui : 2
La risonanza magnetica funzionale (rmf) è un tipo speciale di risonanza. La risonanza magnetica, così come l'ecografia pelvica transvaginale e il ca 125, è uno degli esami diagnostici indicato per fare diagnosi di endometriosi. La risonanza magnetica consente di visualizzare lo scheletro e le articolazioni ma anche gli organi interni.

Viene impiegata per l'osservazione delle strutture del cervello e la risonanza magnetica aperta è un modello aperto sui lati, che sostituisce l'abituale tubo chiuso a un estremo;

Nella donna trova inoltre impiego nello studio dell'endometriosi e, più in. Normale aspetto della parete muscolare pelvica anteriore. Risonanza magnetica addome inferiore e scavo pelvico (endometriosi).

Posting Komentar untuk "Risonanza Magnetica Pelvica Per Endometriosi"